Báo cáo đầu tiên về bệnh lý Covid-19: Toàn bộ bề mặt phổi của bệnh nhân chuyển nặng có màu đồng
Theo mô tả, toàn bộ bề mặt phổi của bệnh nhân Covid-19 có màu đồng, xung huyết lan tỏa có thể nhìn thấy bằng mắt thường, có nhiều đốm xuất huyết và xuất huyết hoại tử bộ phận.

Dịch bệnh viêm phổi do virus corona mới (Covid-19) tiếp tục bùng phát trên toàn cầu, song song với sự lây lan mạnh mẽ này, giới chuyên gia y tế cũng đang nỗ lực nghiên cứu bệnh lý để phục vụ quá trình tìm ra vaccine và thuốc đặc trị cho dịch bệnh này.
Mới đây, đội ngũ chuyên gia Trung Quốc đã có những phát hiện bất ngờ khi lần đầu tiên tiến hành phân tích bệnh lý sinh thiết phổi của một bệnh nhân nhiễm Covid-19 thể nặng.
Vào ngày 2/3, nhóm nghiên cứu của Trung tâm Nghiên cứu Y học Lâm sàng Bệnh truyền nhiễm quốc gia và Bệnh viện Nhân dân số 3 Thâm Quyến đã đăng tải bản báo cáo mang tiêu đề Phân tích bệnh lý lâm sàng của bệnh nhân mắc Covid-19 thể nặng trên trên trang Preprints – cơ sở dữ liệu khoa học mở trước xuất bản.
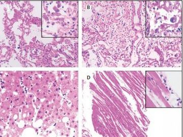
Nhóm nghiên cứu đã thực hiện sinh thiết phổi của một bệnh nhân nhiễm Covid-19 thể nặng đã được ghép phổi, đồng thời thông qua phương pháp nhuộm HE, nhuộm hóa mô miễn dịch và nhuộm màu đặc biệt (bao gồm nhuộm Masson, nhuộm PAS và nhuộm Gomori) để tiến hành đánh giá bệnh lý.

Kết quả cho thấy, xuất hiện sung huyết lan tỏa toàn bộ phổi hoặc xuất huyết hoại tử bộ phận. Xuất huyết hoại tử được nhìn thấy rõ ràng ở rìa ngoài của thùy phải của phổi phải. Thiết diện phổi có hiện tượng sung huyết nặng và xuất huyết.
Nhóm nghiên cứu cho biết, nghiên cứu này đã chứng minh sinh thiết lâm sàng của bệnh nhân thể nặng, có thể cung cấp chứng cứ cho việc đi sâu tìm hiểu về cơ chế và mức độ nghiêm trọng của bệnh tình.
Cho đến nay, nghiên cứu về đặc điểm dịch tễ và lâm sàng đối với bệnh nhân Covid-19 ngày càng phong phú. Hầu hết bệnh nhân có các triệu chứng như sốt và ho, nhưng một bộ phận bệnh nhân lại xuất hiện thêm những biểu hiện nặng như suy hô hấp cấp tính, hội chứng suy hô hấp cấp tiến triển (ARDS) và sốc nhiễm trùng huyết. Điều đáng chú ý là hiện nay, bệnh nhân Covid-19 thể nặng thường có tiên lượng xấu và tỷ lệ tử vong cao.
Nghiên cứu đối với một nữ bệnh nhân 66 tuổi, trở về Thâm Quyến từ Vũ Hán vào ngày 4/1/2020 cho thấy, bà có triệu chứng đầu tiên là sốt cao và ho. Ngoại trừ tiền sử tăng huyết áp trong vòng 8 năm qua, bà không có bệnh cơ sở nào khác, chức năng tim là tốt. Kiểm tra X-quang vùng ngực cho thấy độ sáng phổi trái và phải tăng cao, xuất hiện nhiều bóng.
Bệnh nhân này được chẩn đoán viêm phổi thể nặng và ARDS nghiêm trọng cũng như bị suy hô hấp nên được tiến hành ghép phổi. Tòa bộ quá trình phẫu thuật được thực hiện trong phòng thí nghiệm vô trùng cấp P3.
Theo mô tả, điểm bất thường là, toàn bộ bề mặt phổi của bệnh nhân này có màu đồng, sung huyết lan tỏa có thể nhìn thấy bằng mắt thường, có nhiều đốm xuất huyết và xuất huyết hoại tử bộ phận. Đáng chú ý, xuất huyết hoại tử xảy ra chủ yếu ở rìa ngoài của thùy dưới, thùy giữa và thùy trên của lá phổi bên phải. Các phế quản được bao phủ bởi chất nhầy và tiết dịch. Thiết diện phổi có hiện tượng xuất huyết và sung huyết nặng.

Nhóm chuyên gia Trung Quốc cho hay, kết quả nghiên cứu lần này còn cho thấy phổi của bệnh nhân đã gặp phải những tổn thương như phù phổi xuất huyết, viêm tiểu phế quản… Điều đáng chú ý là, dưới kính hiển vi, nhóm nghiên cứu đã quan sát thấy phần lớn phổi bị xơ hóa, dày thành ống, ống thông hẹp và tắc nghẽn.
Họ suy đoán rằng những thay đổi lớn này có thể dẫn đến suy hô hấp nghiêm trọng ở những bệnh nhân thể nặng.
Mặt khác, các quan sát chung hiện nay cho thấy, xuất huyết hoại tử chủ yếu tồn tại ở rìa ngoài của phổi phải. Quan sát này chứng tỏ hai điểm sau: thứ nhất, đây có thể là một trong những nguyên nhân chính gây tử vong ở bệnh nhân thể nặng; thứ hai, tổn thương chính của những bệnh nhân COVID-19 có thể bắt nguồn vị trí này.
PV/TQ